Videogenomgång (flippat klassrum)
PDF-fil att fylla i tillsammans med videogenomgången finns på den här länken!
Luftens väg till lungan
- Näshåla: Luften
- värms
- fuktas
- Svalg delar upp sig i
- luftstrupe
- matstrupe
Rätt sak på rätt plats!
- Lätt fixat hos spädbarn!
- Struphuvudet:
- Broskdelar.
- Innehåller stämbanden.
- Stämbanden ger bara ton
- Ljudet formas i munhålan
- Luftstrupe
- Muskulatur, brosk med mera håller det öppet.
- Spänns upp av broskringar.
- Bronker
- = luftrör
- = förgreningar av luftstrupen
- Bronkioler
- Allt mindre luftrör, ut i lungan.
- Saknar brosk.
- Alveoler
- = lungblåsor
- Cirka 0,15 mm i diameter.
- Ger en yta på 70–100 m2.
- Tätt omgivna av blodkärl (kapillärbädd).
- Diffusion av gaser: Gasutbytet.
- Koldioxid diffunderar ut.
- Syre diffunderar in.
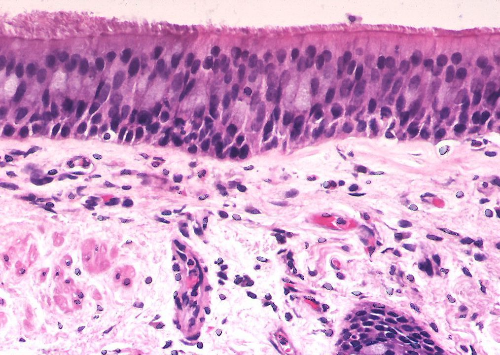
- Lungan, en del av endodermet
- Epitelceller!
- Cilier
- Transporterar skräp till svalget.
- Skräpet sväljs ner.
Andningen
Inandning sker genom att diafragman (mellangärdet) dras samman. Normal utandning sker genom att den töjbara lungvävnaden drar ihop sig igen.
- Inandning:
- Muskelkontraktioner.
- Diafragma (mellangärde) drar ner lungorna, som vidgas.
- Luft sugs in.
- Utandning:
- Normalt:
- Diafragma + bröstmuskulatur slappnar av.
- Ansträngning
- Annan bröstmuskulatur pressar ut.
- Normalt:
- Andningsvolym
- Cirka 500 ml
- Vitalkapacitet
- Maximal utandningsvolym.
- 3500–4500 ml (för en man; kvinnor ngt lägre).
- Alltid viss volym (1000–1500 ml) luft kvar i lungorna.
Andningsreglering
- Andningscentrum
- Sitter i hjärnstammen.
- Skickar rytmiskt ut impulser till andningsmuskulaturen.
- Känsligt för pH i blodet:
- lågt pH ⇒ snabbare andningstakt.
- lågt pH beror på hög CO2-halt.
- hög CO2-halt beror på hög förbränning.
- Även hjärtverksamheten påverkas.
Gasutbytet i lungan och i resten av kroppen
Gaserna diffunderar längs sin koncentrationsgradient.
I lungan
Syrefattigt blod anländer till alveolerna via lungvenerna.
Koncentrationen CO2 i luften är lägre än i blodet.
- CO2(g) diffunderar (längs sin koncentrationsgradient) ut i luften i alveolen.
Koncentrationen O2 är högre i luften än i blodet.
- O2(g) diffunderar (längs sin koncentrationsgradient) in i blodet, binder till de röda blodkropparnas hemoglobin.
Ute i kroppen
Syrerikt blod anländer via artärer till kroppens celler.
I kroppens celler är koncentrationen CO2 (relativt) hög, eftersom det bildas CO2 vid cellandningen.
- CO2 diffunderar (längs sin koncentrationsgradient) in i blodet.
I kroppens celelr är koncentrationen O2 låg, eftersom O2 förbrukas i cellandningen.
- O2 diffunderar (längs sin koncentrationsgradient) ut ur blodet, in i kroppsvätskan och kroppens celler.
Syre- & koldioxidtransport
- Syre, O2
- Svårlösligt i vatten.
- Största delen binds till hemoglobin.
- Hemoglobin är känsligt för pH:
- Lågt pH ⇒ binder sämre till syre.
- I en muskel, med mycket arbete, blir pH lägre på grund av producerad CO2.
- Alltså släpper hemoglobinet lättare ifrån sig syret.
- Koldioxid, CO2
- (Ganska) lättlösligt i vatten.
- Bildar kolsyra i blodet.
- Bildade vätejoner binder till hemoglobinet.
- Hemoglobin agerar buffert!
- Kolmonoxid
- Binder STARKT till hemoglobinet.
- Släpper inte gärna igen.
- Kolmonoxidhalt på 0,1% i luften ⇒ 50% av allt hemoglobin blockeras ⇒ döden.
- Kan endast botas genom att patienten får andas ren syrgas.





